TRATTAMENTI
Le principali attività dello Studio
L’ortodonzia infantile ha come obiettivo principale l’intercettazione e la correzione delle problematiche relative allo sviluppo cranio-facciale orientando il potenziale di crescita nella giusta direzione controllando l’evoluzione della dentatura.
L’ortodonzia dell’adolescente rappresenta l’ortodonzia ’classica’, prevista a partire da quando la permuta dentale è completata.
L’obiettivo è la correzione delle malposizioni dentali nel rispetto dell’ultima fase di crescita.
La tecnica linguale, nata negli Stati Uniti nel 1979 e praticata dal prof. Ronchin dal 1984, prevede l’applicazione di particolari “brackets” incollati sulla superficie interna dei denti e quindi praticamente invisibili.
Richiede particolari capacità tecniche ed esperienza da parte dell’ortodontista.
È una metodica che valorizza al massimo l’aspetto estetico, ideata per gli adulti e gli adolescenti.
Utilizza una serie di confortevoli mascherine trasparenti, per allineare gradualmente la dentatura secondo un preciso programma personalizzato prescritto dall’ortodontista.
Nel nostro studio utilizziamo uno scanner intraorale che permette di prendere le impronte in forma digitale senza più utilizzare gli scomodi e fastidiosi impasti.
Inoltre la scansione intarorale in 3D è molto più precisa rispetto alle tradizionali impronte.
Così come i bambini, anche gli adulti possono beneficiare di un trattamento ortodontico, poiché i denti possono essere spostati a qualsiasi età.
Questa terapia spesso è parte integrante di un trattamento multidisciplinare che vede coinvolte anche altre branche dell’odontoiatria, come la protesi e la parodontologia.
Questa disciplina si occupa della cura e delle procedure per l’eliminazione della carie con metodiche per la ricostruzione del tessuto dentale cariato.
Il termine conservativa indica l’obbiettivo di conservare i denti altrimenti distrutti dalla carie.
Nelle carie profonde con interessamento della polpa del dente si ricorre alla cura canalare detta anche devitalizzazione.
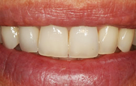
A volte i denti naturali possono risultare non in armonia con il sorriso.
Le “faccette” sono uno strumento fondamentale dell’odontoiatria estetica, realizzate interamente in ceramica con spessori sottilissimi e vengono incollate sulla superficie esterna dei denti per migliorarne colore e forma.
L’ortodonzia, da sola, può essere impiegata con successo solo nei casi che presentano difetti di allineamento dei denti.
In casi più complessi è necessario abbinare all’ortodonzia la chirurgia.
Oltre alla correzione della malocclusione, essa produce anche favorevoli cambiamenti estetici.
Nei pazienti che presentano mancanza di alcuni elementi dentali è necessario riccorere alla loro sostituzione che si può effettuare con corone in ceramica o zirconio. E’ anche possibile ricostituire il patrimonio di denti perduti inserendo degli impianti endossei.
Ha come fine la prevenzione e la salute orale.
L’igienista dentale si occupa di istruire i pazienti alle corrette manovre di spazzolamento, provvede all’ablazione del tartaro e alla levigatura delle radici.
I controlli periodici sono essenziali per il mantenimento.
Sempre più persone sono attente al proprio sorriso.
Lo sbiancamento professionale che viene eseguito nel nostro studio è sicuro ed efficace.
Migliora il colore dei denti rendendoli più bianchi e rivelando in questo modo un sorriso smagliante.